Book Online
Book Online
Email Us
|
Request Call Back
|
How to Find Us
Call us
01582 723220
20 King Street Luton Bedfordshire LU1 2DP
Home
About Us
Treatments
Smile Gallery
Fees & Offers
Contact Us
Our Dental Team
Practice Gallery
Cosmetic
Teeth Whitening
Porcelain Veneers
White Fillings
Smile White Whitening
Restorative
Crowns
Bridges
Dentures
Root Canal Treatment
General & Preventative
Tooth Surface Loss
Dental Hygiene
Bad Breath
Gum Disease
Orthodontics
Smile White Aligners
Smile White Retainers
Offers
Fees
Home
About Us
Treatments
Smile Gallery
Fees & Offers
Book Online
Contact Us
Smile Gallery
All the photos of this page are of our own real patient cases.
BEFORE
AFTER
Before Chipped Teeth
After Composite Bonding
Badly Shaped Teeth
After Composite Bonding
Broken Teeth
After Composite Bonding
Worn Down Teeth From Bruxism
After Composite Bonding
Before Zoom Whitening
After Zoom Whitening
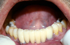
Dentures Worn Down
After New Cosmetic Dentures
Old White Filling Replaced
After
Old Silver Filling
Replaced With Composite
Fractured Silver Filling
Replaced with Composite
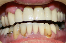
Gum Disease, Teeth Very Loose
Replaced With a Bridge
Before Veneers
Porcelain Veneers
Lost Teeth
Replaced With a Bridge
Old Silver Fillings
Replaced with Composite
Before Lower Inman Aligner
After Inman,( Duration Of Treatment 3 months)
Before Invisalign
After Invisalign
Before Invisalign
After Invisalign
offers
Our Dentists
Copyright © Confident Dental Care. All rights reserved.
|
Complaints Procedur
|
Privacy Policy
Last Update: 15-Mar-2026
Dental Websites
by
Dental Focus